孩子的左肺去哪儿了?
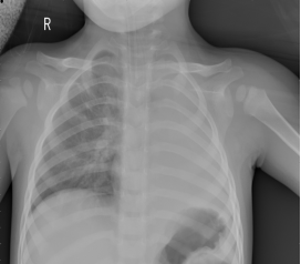
2017年7月29日晚,一辆救护车的鸣笛打破了四川省妇幼保健院夜晚的宁静。车上一名一岁多的小女孩由外院转运,经医院急诊科绿色通道快速进入重症医学科抢救。当时孩子气促、口唇发绀,左侧肺部呼吸音消失,生命垂危。时间就是标尺,重症医学科医护团队快速反应,立即给予孩子气管插管、呼吸机辅助通气治疗,在维持孩子的氧合前提下,放射科顺利完成了床旁胸片检查,而胸片的结果却让在场所有医务人员捏了一把汗:孩子的左肺竟然“不见了”?!

究竟是什么原因导致一个一天前还活蹦乱跳的孩子突然出现这样的巨变呢?只有找到原因,才能帮助孩子脱离生命危险。医疗团队紧张地进行着鉴别,逐一排除各种可能常见病因。结合小女孩的年龄特点,大家考虑气道异物可能性最大。但是无论怎样追问孩子的父母,都坚决否认异物呛入病史。为明确诊断,重症医学科副主任谢成决定立即进行床旁纤维支气管镜探查气道情况。当纤维支气管镜进入气道时,显示屏上看到的一幕令在场工作人员大吃一惊。原来孩子的左侧主支气管被完全堵塞。而堵塞孩子气道的物质仍不明,究竟是异物?肿瘤?还是感染后形成的塑型?或是先天的发育异常?如果不尽快解除堵塞,目前的生命支持仅仅是权宜之计,孩子依然无法彻底脱离危险。重症医学科的医生们冒着风险与时间赛跑,用转运呼吸机先后两次完成了胸部CT平扫和增强检查,为后续的协助诊断起到了至关重要的作用。

谢成副主任行纤维支气管镜取异物并灌洗术

取出的半粒花生米
随后,重症医学科会同儿外科、儿科、耳鼻喉科、麻醉科等多学科专家一起讨论孩子的病情,基本排除肺发育异常和肿瘤的可能性,方向最终锁定支气管内异物或是塑型性支气管炎。若是塑型性支气管炎,除了用纤维支气管镜取出堵住气道的塑型物外,别无他法。若是支气管内异物,孩子目前在有创通气支持下氧合仍不稳定,无法承受在全麻术下支气管硬镜行异物取出术的风险。此时医疗团队面对的最大困惑就是在形形色色的不确定性中如何最大限度降低风险,挽救孩子的生命。面对孩子父母的信任和期待,谢成副主任充分与家属沟通后,毅然决定承担风险压力,充分做好各种突发情况的应急准备后,在ICU里进行床旁纤维支气管镜取异物术。手术中,医护团队密切协作,一边严密观察孩子生命体征,保证有效氧合,一边由谢主任小心翼翼钳取堵塞物,将堵塞的东西一点点取出后,才发现造成孩子生命危险的罪魁祸首,原来就是小小的半粒花生米和围绕着花生米周围异常粘稠的痰栓。当左主支气管的堵塞物全部清除后,气道内又涌出大量的脓痰,继续利用纤维支气管镜给予气道灌洗治疗,清除脓痰后孩子左肺的通气得到改善。整个手术持续近2个小时,手术结束时大家的工作服已经被汗水湿透。术后1小时复查胸片,孩子的左肺又“回来”了!

术后经过呼吸机辅助通气、抗感染治疗及精心护理下,孩子病情迅速好转。2周后,小女孩痊愈出院。医护团队心系患儿,勇于担当,利用先进技术挽救生命,不仅是我院多科协作的成功案例,更是我院医护人员不断践行“生命守护者”的承诺。

出院时小女孩一家与重症医学科医护人员合影
