准确诊断,呵护健康
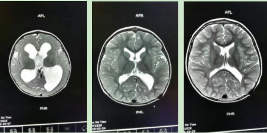
4年前的一天,一群焦急的老老少少带着一个胖乎乎的婴儿来到我院放射科。孩子脑袋略显大,眼球呈落日样,不能聚目,同时不能象同龄孩子那样竖头。磁共振检查结果几乎让整个家庭崩溃-重度脑积水!,其预后通常不容乐观,要么是生活不能自理,要么就是智力愚钝成为一个长不大的婴儿。
小孩发生脑积水有多种原因,如由缺氧缺血性脑损伤导致脑白质损伤所致脑室扩大,其影像检查结果在很大程度上与脑积水相似,但是其后果相比其他病因更加严重,预后更差。我们经过仔细的分析、鉴别,明确告知家属,小孩脑积水不是由脑白质减少所致,经过脑积水引流术等治疗恢复健康的可能性很大,而且越早治疗效果越好。按照我们的建议,家长立即把病孩送到上海进行了脑积水引流术,并严格按照儿童保健科医生的指导进行了两年专业按摩治疗,病情逐渐好转,经过评估后孩子的运动及智力达到了同龄儿水平。
近日,家长带着孩子来到我院放射科,当活波可爱、运动自如的孩子将那纯真的一吻献给我们并脆生生地叫着“医生妈妈好”的时候,作为一名医务人员的满足感、存在感和荣誉感油然而生。

孩子大脑的磁共振图片(分别为治疗前、治疗中及最近一次检查)

感谢我的“医生妈妈”!
